ホワイトスポット
歯を削らずに白いシミを改善
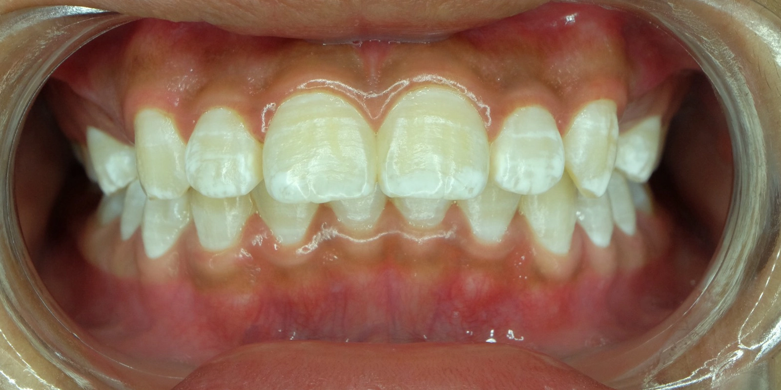
「笑った時に見える、前歯の白いシミが気になる」 「矯正装置を外したら、歯に白い斑点ができていた」 「子供の歯が、一部分だけ白く濁っている」
歯の表面にできる白い斑点「ホワイトスポット」。虫歯ではないかと心配になったり、見た目が気になってコンプレックスに感じたりする方も少なくありません。
これまでは、このホワイトスポットをきれいに治すには、歯を削って詰め物をするしかありませんでした。しかし、健康な歯を削ることに抵抗を感じ、治療を諦めていた方も多いのではないでしょうか。
当院では、歯を一切削ることなく、ホワイトスポットを改善する新しい治療法「Icon(アイコン)」を導入しています。大切な歯を傷つけずに、自然で美しい見た目を取り戻しましょう。
ホワイトスポットの主な原因
歯に白いシミができる原因は、大きく分けて2つあります。
初期虫歯によるもの
歯の表面は、食事のたびに食べ物に含まれる糖から作られる「酸」によって、ミネラル成分が溶かされます(脱灰)。通常は唾液の力で修復されますが(再石灰化)、歯磨きが不十分でプラークが付着したままだと脱灰が進み、歯の表面がチョークのように白く濁った状態になります。
これが初期虫歯によるホワイトスポットです。特に、矯正装置の周りは磨き残しが多く、装置を外した後に見つかることがよくあります。
エナメル質形成不全によるもの
歯が作られる胎児期から幼少期にかけて、高熱や病気、栄養障害、乳歯の外傷などの影響で、歯の表面のエナメル質が正常に作られなかった状態です。
これにより、生まれつきエナメル質の構造が不均一になり、ホワイトスポットとして現れます。これは虫歯ではないため、進行する心配はありませんが、見た目が気になる場合があります。
従来の治療法とその問題点
従来、ホワイトスポットの見た目を改善するためには、以下のように歯を削る治療法が主流でした。
削って詰める(CR充填)
ホワイトスポットの部分をドリルで削り取り、白い樹脂(コンポジットレジン)を詰める方法です。しかし、健康な歯を削る必要があり、詰めた部分との境目が目立たないように、周囲の健康な歯質まで余分に削らなければならないこともありました。また、詰めた樹脂は経年的に変色するため、数年ごとのやり直しが必要になる可能性もあります。
削って被せる(セラミック治療)
歯の表面を薄く削り、セラミックの薄い板を貼り付ける(ラミネートベニア)、あるいは歯全体を被せる(クラウン)方法です。見た目は非常にきれいに仕上がりますが、歯を大きく削るため、歯へのダメージが大きいのが最大のデメリットでした。
歯を削らない
Icon(アイコン)治療
当院では、これらの問題を解決する、歯に優しい最新のホワイトスポット治療「Icon(アイコン)」を推奨しています。
Icon(アイコン)とは?
Iconは、歯を一切削らず、低粘度で浸透性の高い特殊な樹脂(レジン)をホワイトスポットに浸み込ませることで、見た目を改善する画期的な治療法です。ドイツで開発され、欧米ではすでに一般的な治療として広く普及しています。
なぜ白さが目立たなくなるのか?
ホワイトスポットが白く見えるのは、歯の表面が脱灰によって微細な空洞だらけになり、光が乱反射するためです。Icon治療では、この空洞部分に周囲の歯と光の屈折率が近い樹脂を浸透させ、内部を均質な状態にします。
これにより、光の乱反射が抑えられ、ホワイトスポットが目立たなくなり、周りの健康な歯の色と自然に調和するのです。
Icon治療のメリット
- 歯を一切削らないため、歯にダメージを与えません。
- 痛みがほとんどないため、多くの場合、麻酔も不要です。
- 1回の来院(1時間程度)で治療が完了します。
- 初期虫歯の進行を抑制する効果も期待できます。
当院の取り組み
Iconは初期虫歯によるホワイトスポットに最も効果的とされていますが、当院では独自のテクニックを応用し、これまで改善が難しいとされてきたエナメル質形成不全によるホワイトスポットの治療にも対応しています。
その他の治療・予防法
MIペーストやフッ素塗布
初期虫歯が原因の場合、カルシウムやリンなどのミネラルを豊富に含むMIペーストや、高濃度のフッ素を塗布することで、歯の再石灰化を促し、歯質を強化するとができます。これによりホワイトスポットの進行を抑制しますが、一度できてしまった白いシミを完全に消すといった、審美的な改善効果は限定的です。






















